

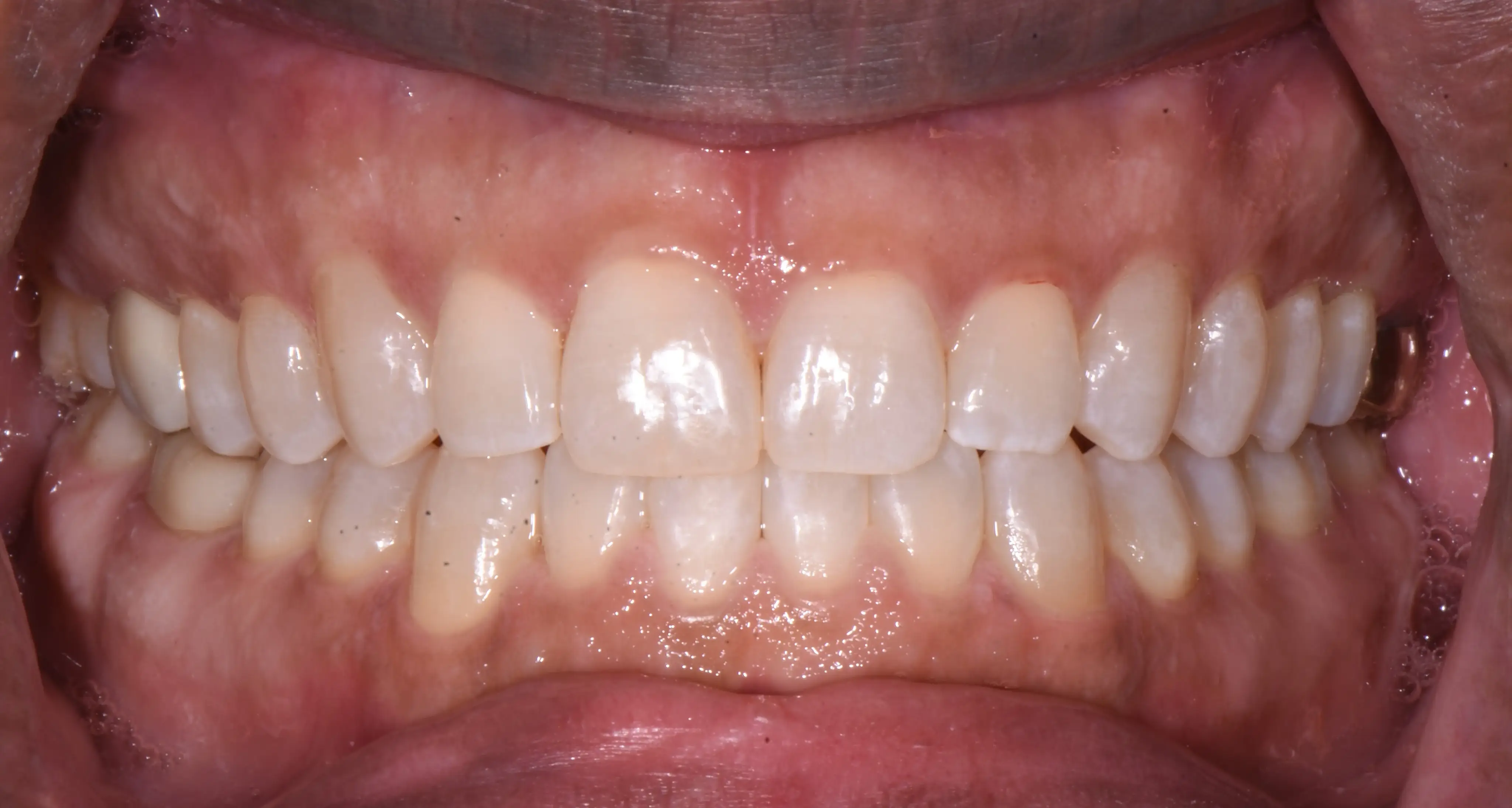
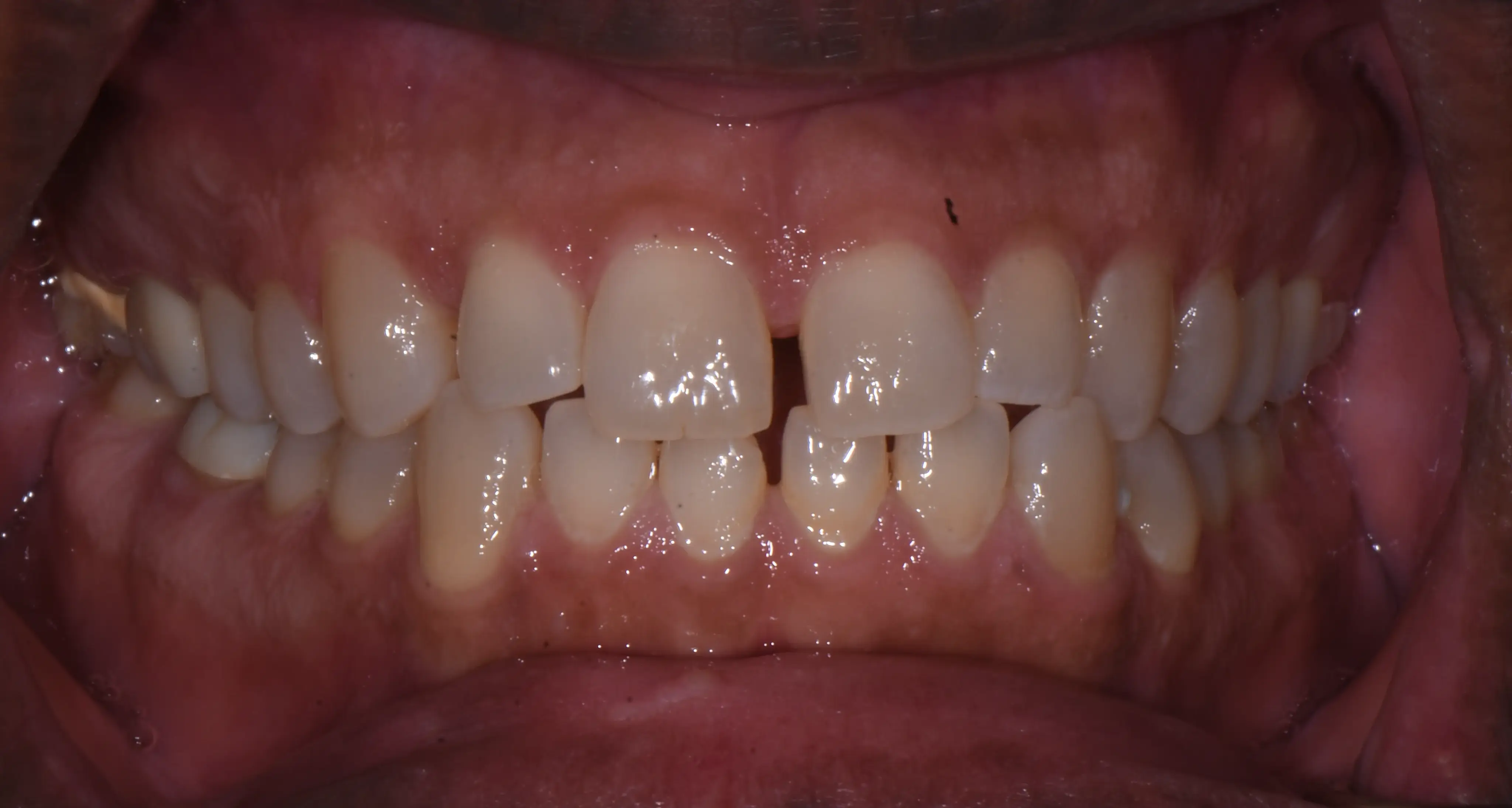
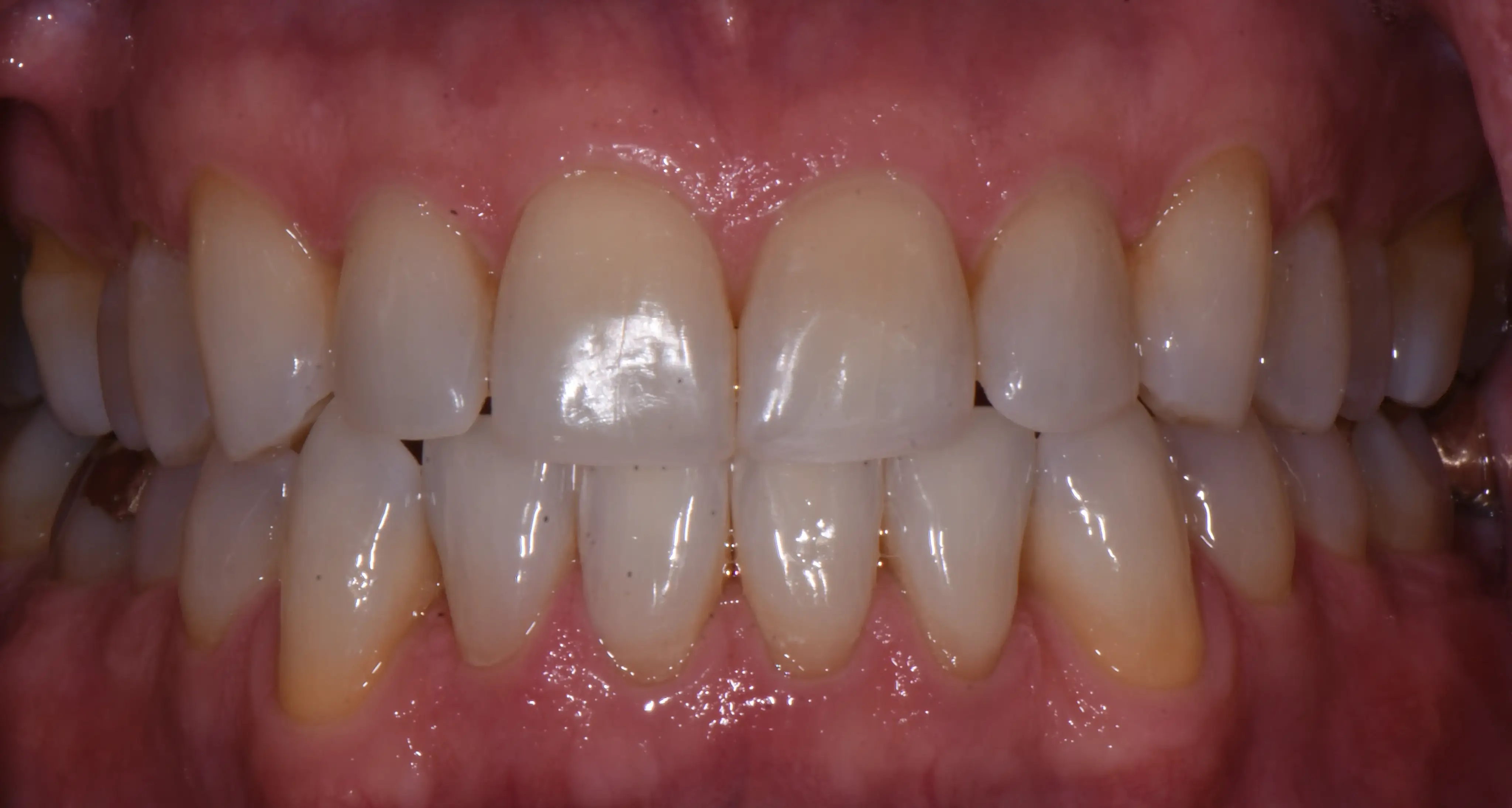
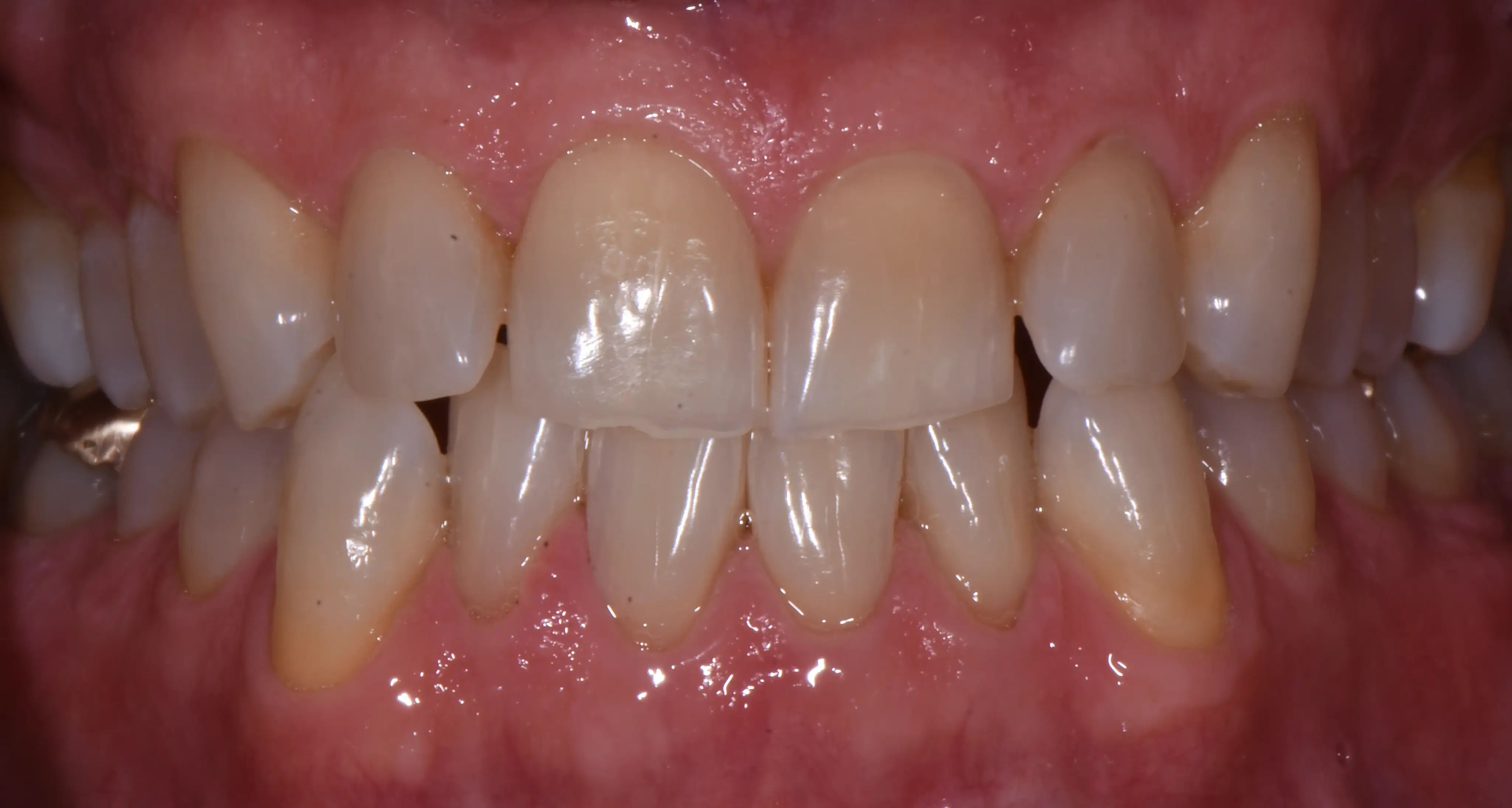
Invisalign is a discreet, comfortable alternative to traditional braces. Using a series of clear, removable aligners, it gradually guides your teeth into healthier alignment—without metal brackets or dietary restrictions.
At Downtown Oakland Dental, we focus on more than just straight teeth. We use Invisalign to improve how your bite functions, prevent long-term issues like tooth wear or gum recession, and make everyday things like eating and speaking feel more natural. Your smile will look better—but more importantly, it will work better too.
Clear aligners are virtually undetectable—so you can straighten your smile without anyone noticing.
Unlike braces, aligners can be removed for eating, brushing, and flossing. Plus, they’re smooth and custom-fitted, so there’s no poking or irritation.
With consistent wear and regular check-ins, Invisalign delivers predictable, lasting results—and we’re here to support you every step of the way.

We’ll start with a digital scan of your teeth using our iTero scanner—no messy impressions! Then we’ll chat about your goals and confirm if Invisalign is the right fit for your smile. While we can treat many cases in-house, some complex orthodontic needs are best managed by a specialist—and if that’s the case, we’ll connect you with a trusted orthodontist we know and collaborate with.
Using Invisalign’s advanced software, we’ll map out every step of your tooth movement. You’ll even get a sneak peek of your future smile before treatment begins.
Once your aligners arrive, you’ll start wearing them for 20–22 hours a day, switching to a new set every 1–2 weeks. We’ll check in regularly to track your progress and make adjustments if needed.
After treatment, we’ll provide custom retainers to help keep your teeth in place—so you can enjoy your new smile for years to come.





Most Invisalign cases take between 6–18 months, depending on your specific needs. We’ll give you a clear timeline during your consultation so you know exactly what to expect.
You may feel slight pressure when switching to a new aligner, but most patients find Invisalign much more comfortable than braces. There are no brackets or wires to irritate your cheeks or gums.
Yes! Retainers are key to maintaining your results. After completing treatment, we’ll provide you with a custom retainer and instructions to keep your smile aligned long-term.